Смоленские нейрохирургии повели уникальную операцию
О резком случае из клинической практики рассказали в Смоленской областной клинической больнице.
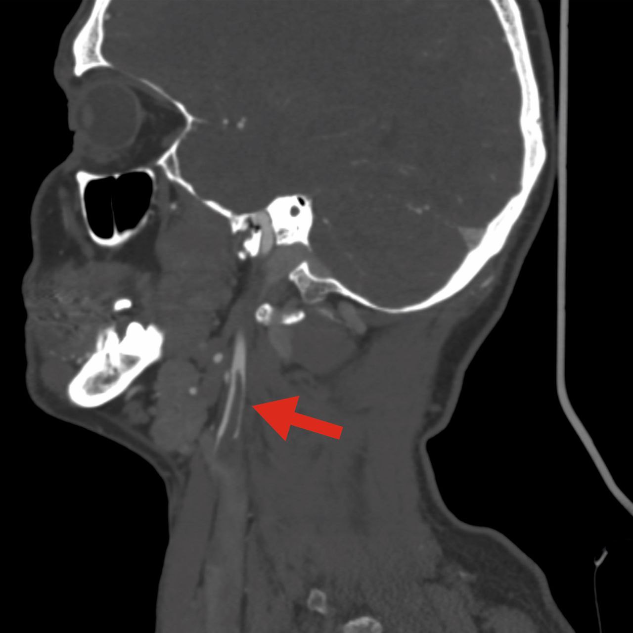
В приемное отделение экстренно доставилт пациента 1979 года рождения с жалобами внезапную слабость и онемение в левых конечностях. Обследование выявило флотирующий тромб длиной до 4 см в просвете правой внутренней сонной артерии. Тромб создавал препятствие кровоснабжению головного мозга и мог оторваться, что привело бы к обширному ишемическому инсульту.
Сосудистыми нейрохирургами Алексеем Дмитриевым и Ильей Кораблёвым была выполнена экстренная операция - каротидная эндартерэктомия с удалением тромба из просвета правой внутренней сонной артерии. Благодаря проведенным манипуляциям тромб эвакуировался из сосуда под давлением крови. После этого хирурги удалили атеросклеротическую бляшку с восстановлением анатомии сосудов.
На следующие сутки после операции пациент отметил значительное улучшение, а уже на четвертые был выписан из больницы.










































